Cosmetic Periodontal Surgery


Cosmetic Periodontal Surgery, sometimes referred to as “crown lengthening,” is performed to improve the health of the gum tissue, prepare the mouth for a certain restorative procedures, or to correct a “gummy smile”. “Gummy smile” is used to describe an instance where teeth are covered with excess gum tissue resulting in a less esthetically-pleasing smile. The procedure involves reshaping or recontouring the gum tissue and bone around the tooth in question to expose more tooth structure. Cosmetic Periodontal Surgery can be performed on a single tooth or multiple teeth.

Crown lengthening is required when your tooth needs a new crown or other restoration and the edge of that restoration will be deep below the gum tissue and not immediately accessible for daily cleaning. Crown lengthening exposes more of the tooth, which allows your restorative dentist to reach the edge of the restoration, ensuring a proper fit. This allows you to clean the edge of the restoration when you brush and floss to prevent decay and gum disease.

Schedule your Consultation

 

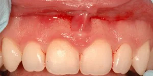
BEFORE Cosmetic Periodontal Surgery

AFTER Cosmetic Periodontal Surgery