Socket Preservation


Preserving Your Jaw Bone after Extraction

Removal of teeth is sometimes necessary. The bone that holds the tooth in place (the socket) is often damaged by disease and/or infection resulting in deformity of the jaw after the tooth is extracted. This problem can be avoided by enhancing the bony socket at the time of extraction. If not properly addressed, the surrounding bone and gums can shrink and recede very quickly after the extraction resulting in unsightly defects and collapse of the lips, and cheeks.

These jaw defects can create major problems in performing restorative dentistry whether your treatment involves dental implants, bridges or dentures. Jaw deformities from tooth removal can be repaired by a procedure called socket enhancement. Socket enhancement can greatly improve your smile’s appearance and increase your chance for successful dental implants. 

Several techniques can be used to preserve the bone and minimize bone loss after an extraction. In one common method, the tooth is removed and the socket is filled with bone. It is then covered with gum, artificial membrane, and/or tissue stimulating proteins to encourage your body’s natural ability to repair the socket. With this method, the socket heals eliminating the vast majority of the shrinkage and collapse of surrounding gum and facial tissues. The newly formed bone in the socket also provides a foundation for an implant to replace the tooth. If your dentist has recommended tooth removal, be sure to ask if socket preservation is necessary. This is particularly important if you are planning on replacing the front teeth.

Schedule Your Consultation

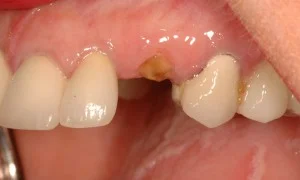
Below is an example of the difference that proper dental procedures can make in a patient’s oral health.

Broken Upper Canine

Broken Upper Canine

Extraction of Canine

Extraction of Canine

Bone Graft (socket enhancement) Completed

Bone Graft (socket enhancement) Completed

Healing at 4 Months

Healing at 4 Months